ホームホワイトニングの効果

2024.5.15

皆さん、こんにちは。歯科衛生士の福栄友美です。

第1回目のテーマはホームホワイトニングの効果についてです。

今回の患者さんは「歯が茶色いのが気になる」ということで当院を受診されました。

ホワイトニング自体にはずっと興味をもっていたようで、当院ではオフィス、ホーム、デュアルとホワイトニングには3つの選択肢があるということをお伝えしたところ、自宅で手軽にできるホームホワイトニングをお選びいただきました。

スタートから数日で患者さん自身も歯が白くなってきたことを感じていただけたようで、楽しみながら2週間ホワイトニングしていただきました。

2週間もすると、ご友人や周りの方からも「歯が白くなったね!」と声を掛けられることも増えたようで、喜んでおられました。

やはり自分だけ感じるのではなく、人から言われると嬉しさが増しますよね。

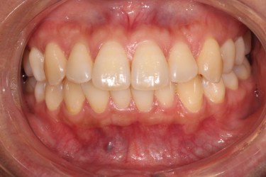
“ここまできたら自分の歯の限界まで白くしてみたい”、という患者さんからの要望もあり、知覚過敏の症状もそんなにでていなかったのでもう少し継続してみたところ(スタートから約1か月)、スタート時から比較すると色調でいうと5~6段階の変化があり、とても効果に満足していただけました。

比較写真を見て「私ってこんなに歯が黄色かったんだ」と落ち込んだ姿の後に、「福栄さん見て下さい!白くなりましたよね!」と楽しそうにニコニコ声を掛けて下さる患者さんを見て、私もとっても嬉しい気持ちになりました。

これから、あたたかく気持ちのいい季節なので、白く美しい歯で、メイクやおしゃれをして楽しいことをたくさんしていただきたいな♪と思います。

今後は3カ月に1度程度で後戻り防止のタッチアップを行っていただく予定です。

歯科医院で行うホワイトニングのいいところは、その患者さんのライフスタイルに合わせた施術の選択ができること、また症状をみながら私たちも歯磨剤のアドバイスやアフターフォローができるので安心してホワイトニングを行っていただけるところです。

何より白くなった喜びを一緒に共有させていただけるのも私の楽しみでもあります。

歯が白くなると印象も変わりますし、笑顔も増えます。

今後もたくさんの患者さんと笑顔の絶えない歯科医院にしていきたいです。

 
Instagram
アクセス
MENU
TOPへ